0
Skip to Content
SIGNATURE ADVANCED ESTHETICS
Meet the Doctor
Smile Gallery
FAQs
Contact
Open Menu
Close Menu
SIGNATURE ADVANCED ESTHETICS
Meet the Doctor
Smile Gallery
FAQs
Contact
Open Menu
Close Menu
Meet the Doctor
Smile Gallery
FAQs
Contact
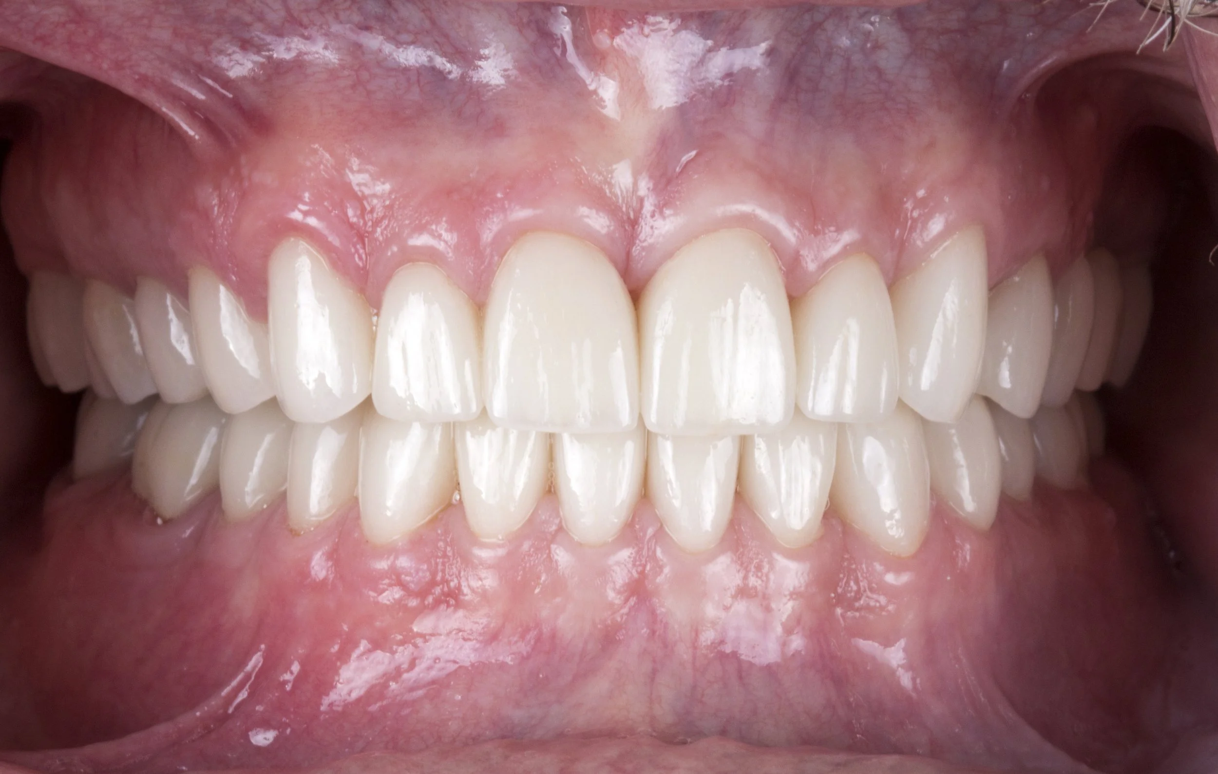
Full mouth adhesive rehabilitation to worn dentition and malocclusion
Previous
Previous
Project Nine
Next
Next
Project Eleven