0
Skip to Content
SIGNATURE ADVANCED ESTHETICS
About
SMILE GALLERY
Contact
Open Menu
Close Menu
SIGNATURE ADVANCED ESTHETICS
About
SMILE GALLERY
Contact
Open Menu
Close Menu
About
SMILE GALLERY
Contact
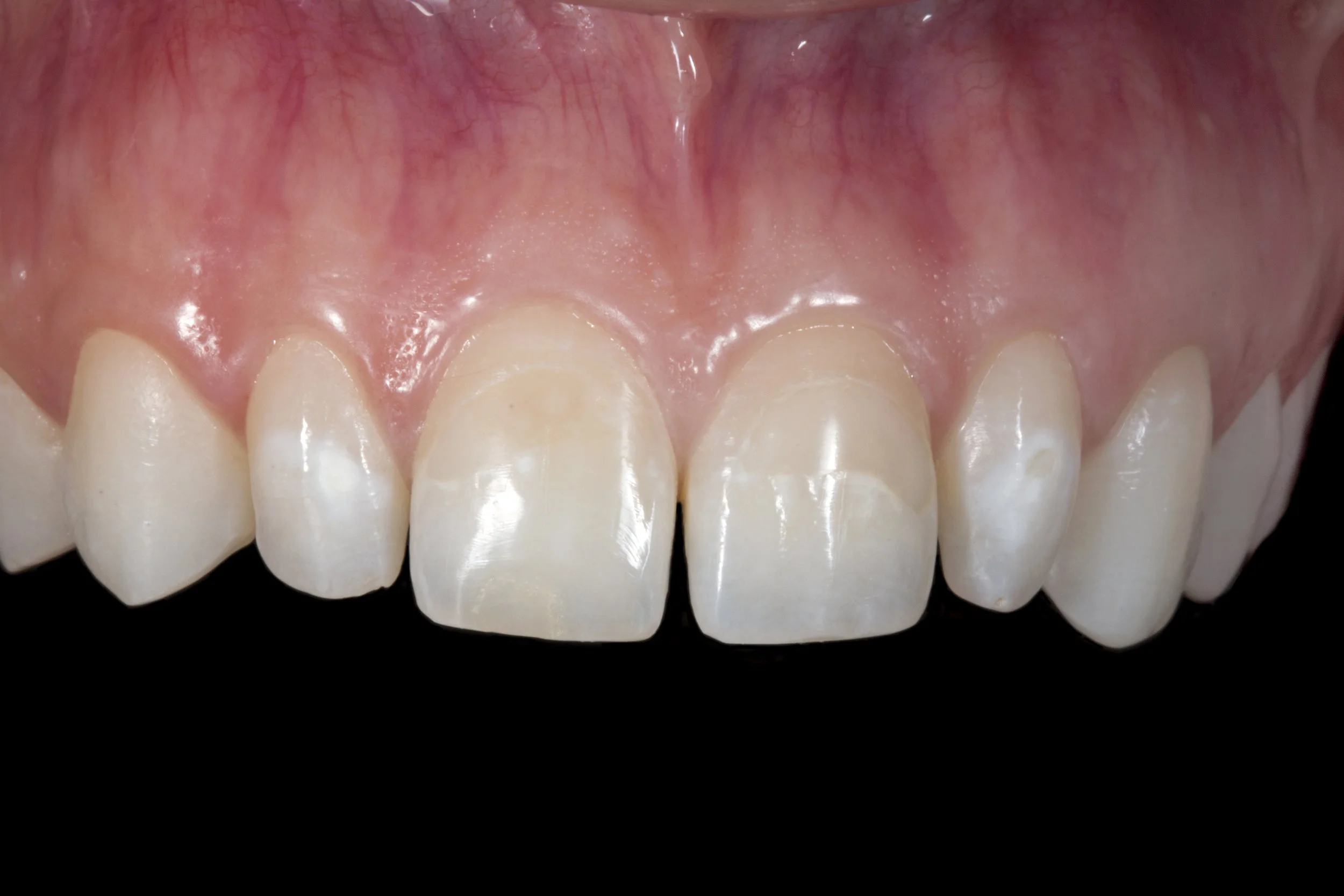
Feldspathic veneers from #5 to #12
Previous
Previous
Project Eight
Next
Next
Project Ten