0
Skip to Content
SIGNATURE ADVANCED ESTHETICS
Meet the Doctor
Smile Gallery
FAQs
Contact
Open Menu
Close Menu
SIGNATURE ADVANCED ESTHETICS
Meet the Doctor
Smile Gallery
FAQs
Contact
Open Menu
Close Menu
Meet the Doctor
Smile Gallery
FAQs
Contact
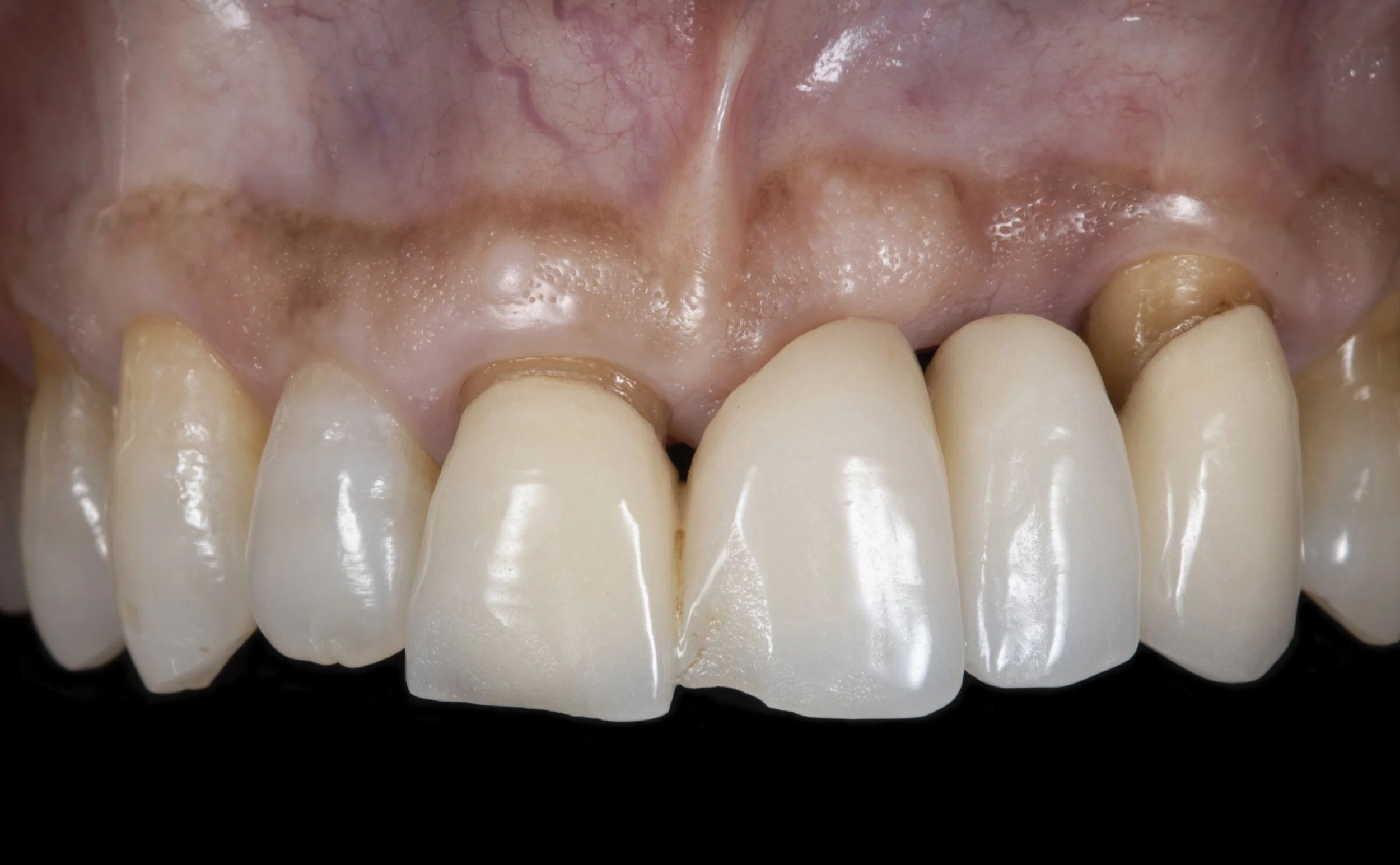
All ceramic crown #8 and implant bridge from #9 to #11
Previous
Previous
Project One
Next
Next
Project Three