0
Skip to Content
SIGNATURE ADVANCED ESTHETICS
Meet the Doctor
Smile Gallery
FAQs
Contact
Open Menu
Close Menu
SIGNATURE ADVANCED ESTHETICS
Meet the Doctor
Smile Gallery
FAQs
Contact
Open Menu
Close Menu
Meet the Doctor
Smile Gallery
FAQs
Contact
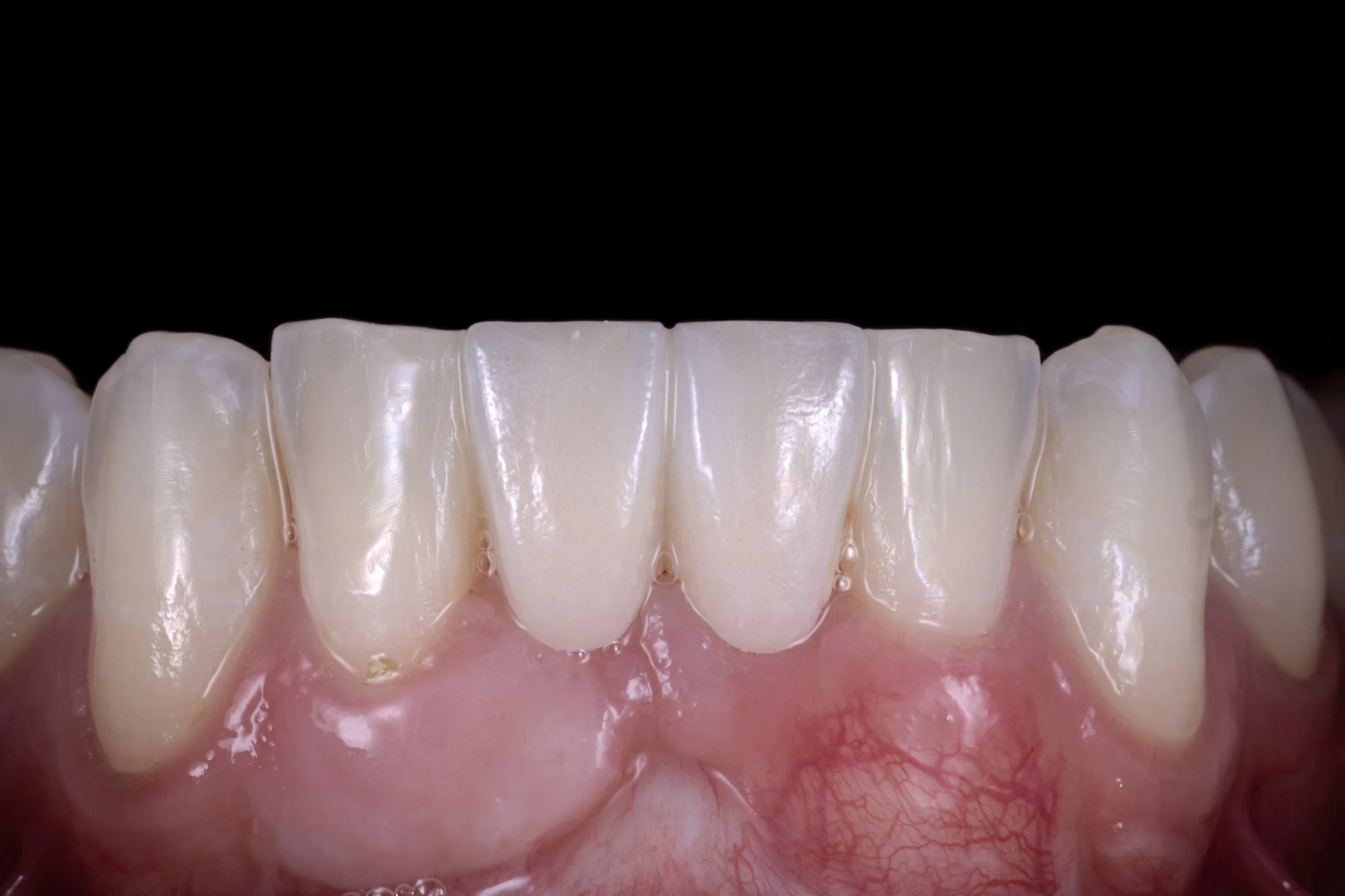
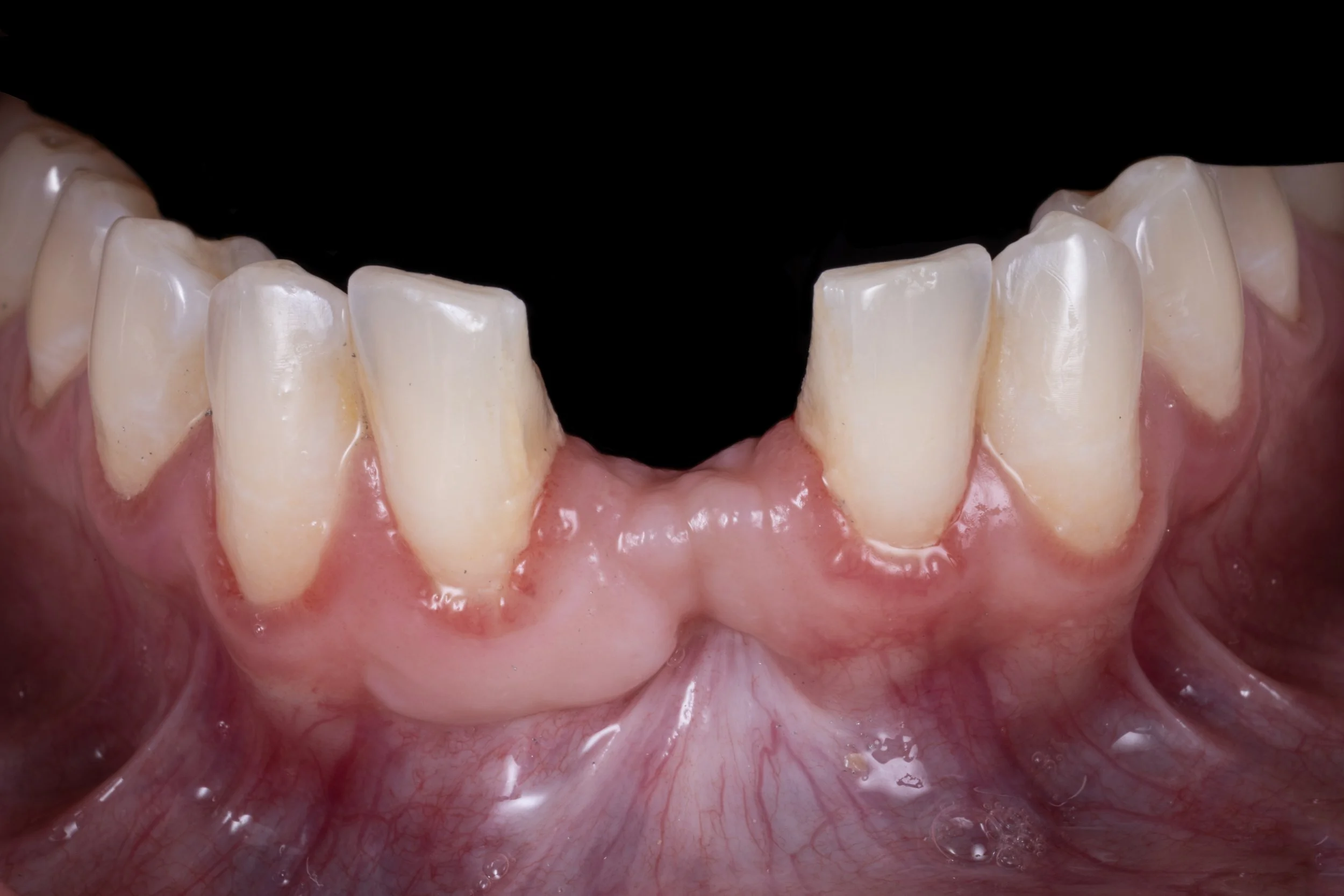
Zirconia Maryland bridge for #24 and #25
Next
Next
Project Two