0
Skip to Content
SIGNATURE ADVANCED ESTHETICS
Meet the Doctor
Smile Gallery
FAQs
Contact
Open Menu
Close Menu
SIGNATURE ADVANCED ESTHETICS
Meet the Doctor
Smile Gallery
FAQs
Contact
Open Menu
Close Menu
Meet the Doctor
Smile Gallery
FAQs
Contact
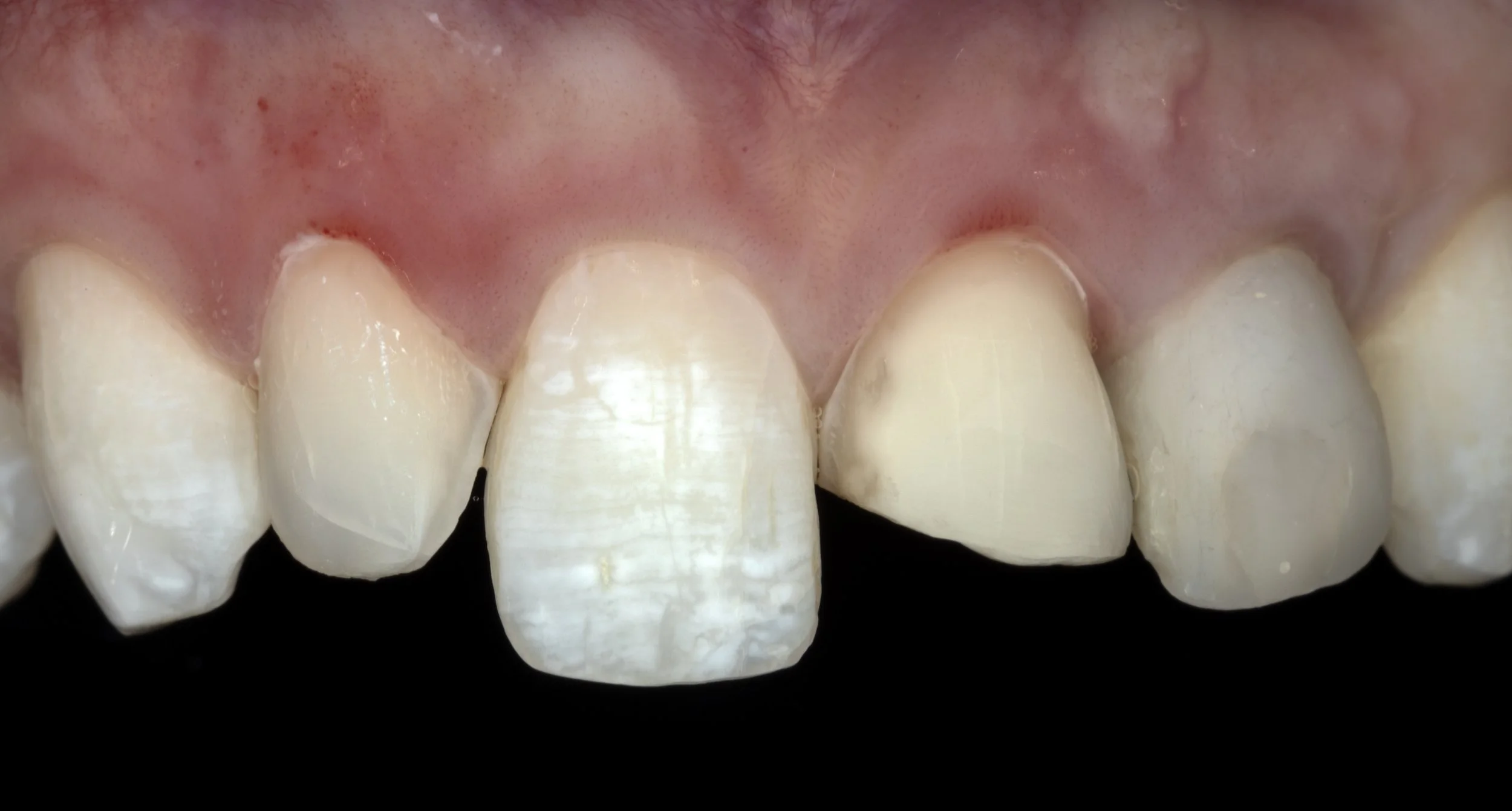
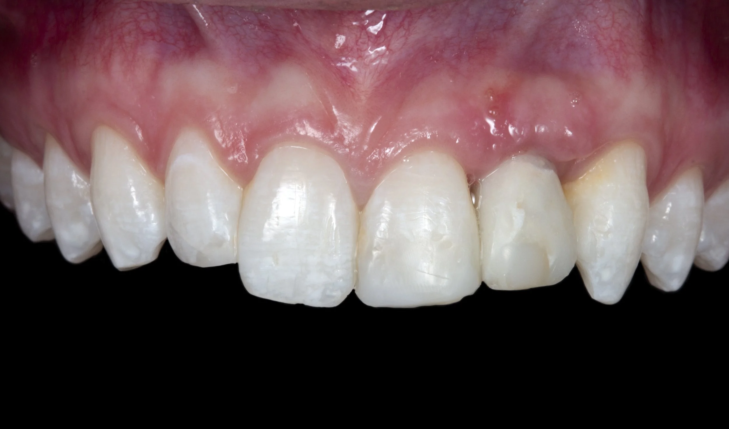
Porcelain veneers for #7 and #9 and implant ceramic crown for #10 due to trauma
Previous
Previous
Project Sixteen
Next
Next
Project Eighteen