0
Skip to Content
SIGNATURE ADVANCED ESTHETICS
Meet the Doctor
Smile Gallery
FAQs
Contact
Open Menu
Close Menu
SIGNATURE ADVANCED ESTHETICS
Meet the Doctor
Smile Gallery
FAQs
Contact
Open Menu
Close Menu
Meet the Doctor
Smile Gallery
FAQs
Contact
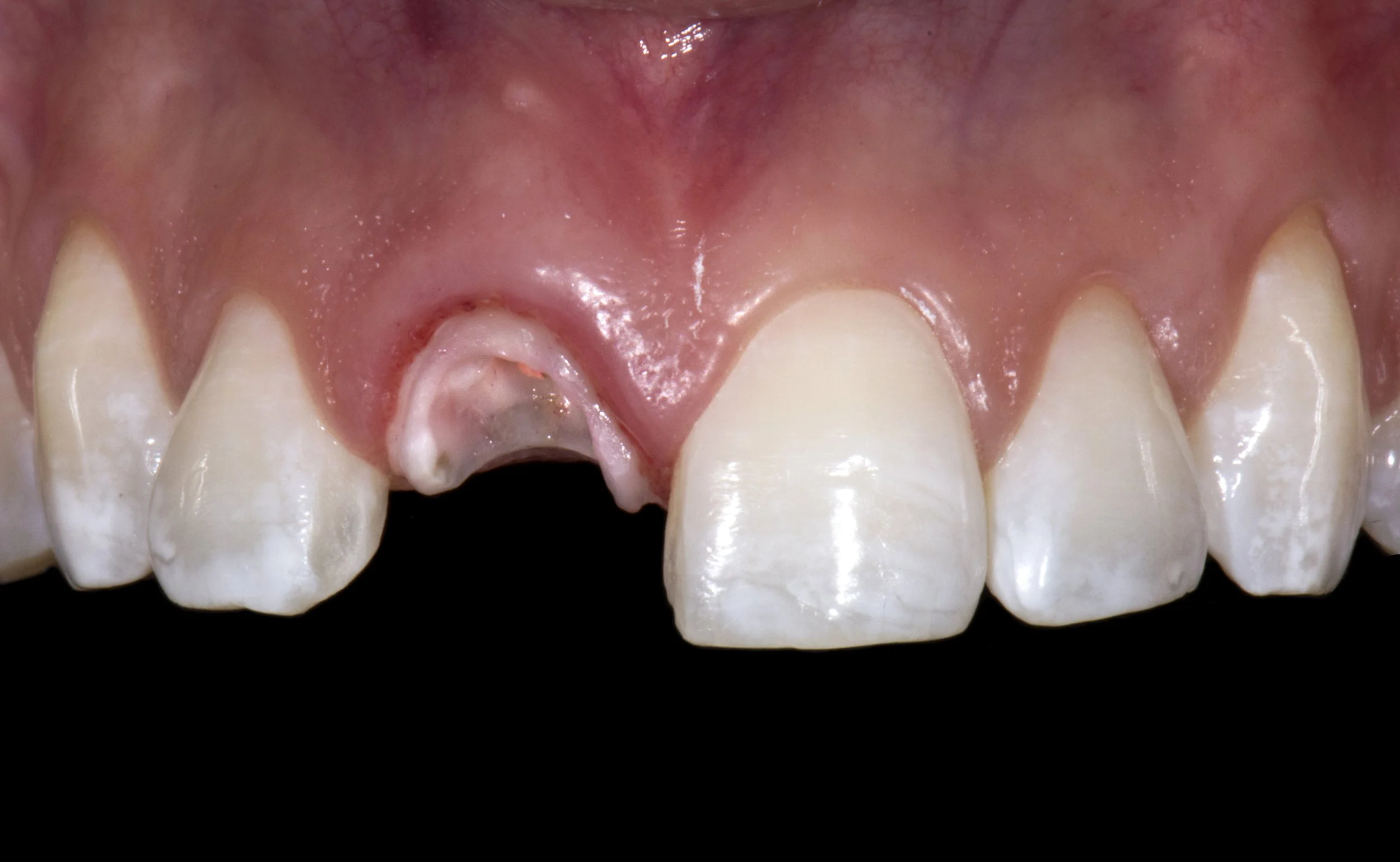
All ceramic crown #8 after sports injury
Previous
Previous
Project Four
Next
Next
Project Six